Prevencia - dentálna hygiena

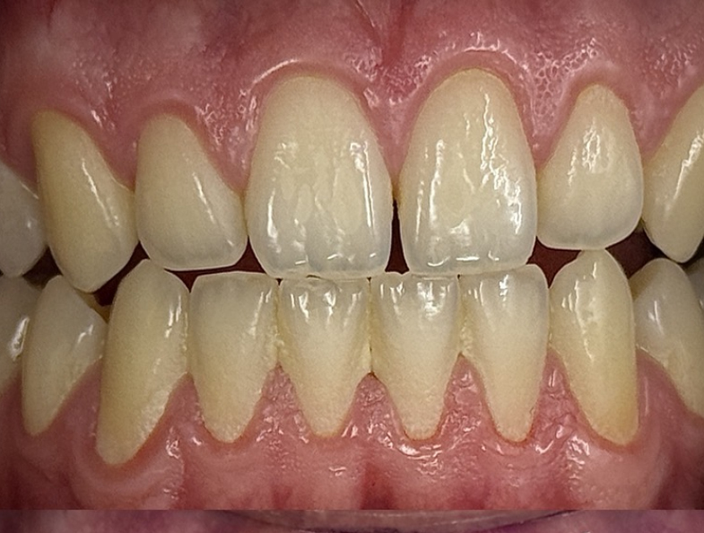
Vo všetkých medicínskych odboroch platí, že prevencia je jednoduchšia a podstatne lacnejšia ako liečba a to platí aj o ústnej dutine. Preto sa na našom pracovisku kladie dôraz na predchádzanie ochorení zubov a ďasien. V našom tíme je za to zodpovedná dentálna hygienička. Jej úlohou je naučiť Vás správne sa starať o Váš chrup tak, aby sme predchádzali vzniku zubného kazu a parodontitídy. Zároveň, jej úlohou je pripraviť pacienta pred samotným ošetrením u zubného lekára. Platí totiž pravidlo, že kvalita ošetrenia u zubného lekára je v úzkom vzťahu s ústnou hygienou pacienta. Čím lepšia hygiena, tým lepšie prežívanie zhotovených výplní, protetických zubných koruniek, či implantátov.
„Najdôležitejšie je naučiť sa SPRÁVNE SI ČISTIŤ ZUBY.“
Dentálna hygienička Vám ukáže ako si efektívne a správne vyčistiť zuby a aké pomôcky pri čistení použiť. Je potrebné si uvedomiť, že profesionálnu dentálnu hygienu by sme mali absolvovať aspoň 1 x do roka.
Dentálna hygiena je pravidelné profesionálne čistenie zubov. Celá procedúra, ktorá Vás čaká v kresle dentálnej hygieničky pozostáva z niekoľkých častí.
Dentálna hygienička sa:
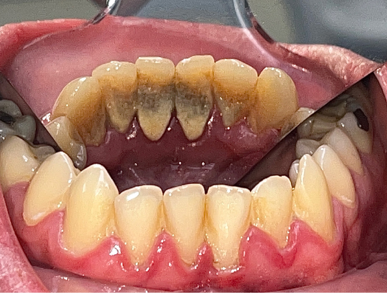
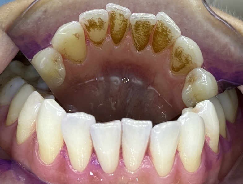
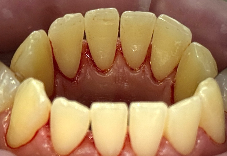
- Najskôr oboznámi s úrovňou Vašej ústnej hygieny a stavom Vašich zubov a ukáže a vysvetlí Vám akým spôsobom vzniká zubný kaz a zápalové ochorenia ďasien
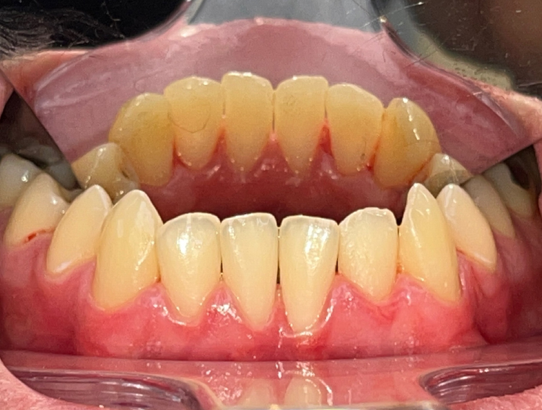
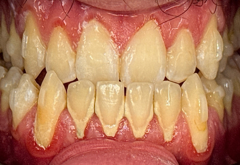
- Odstráni zubný povlak – plak, ktorý sa v ústach nepretržite vytvára a pri vhodných podmienkach mineralizuje do formy zubného kameňa, ktorý sa nachádza najmä okolo ďasien ale i na porvchu zubov a zubných náhrad
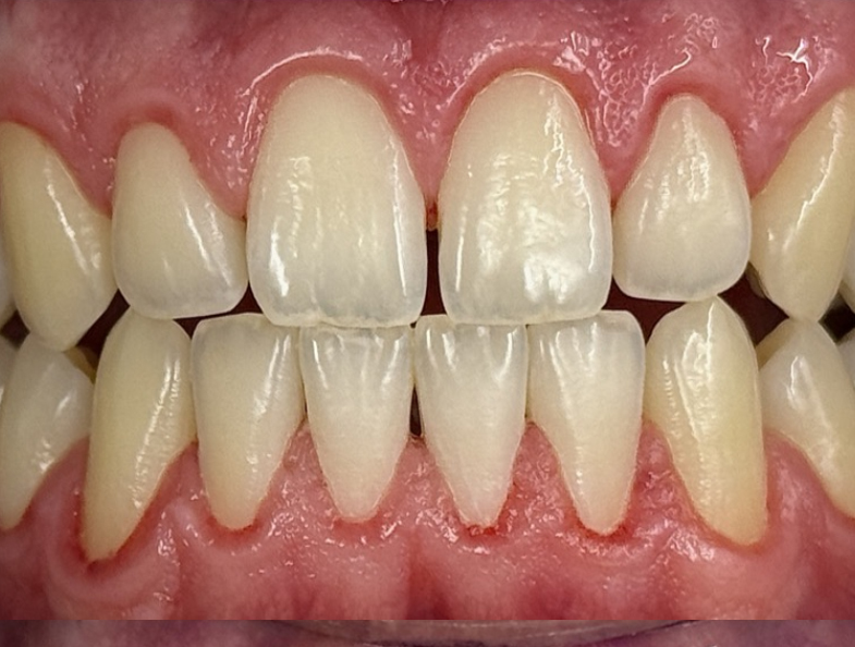
- Vyčistené zuby následne vizuálne skontroluje, či je prítomný zubný kaz a o všetkom Vás informuje
- Naučí Vás správne používať pomôcky ústnej hygieny
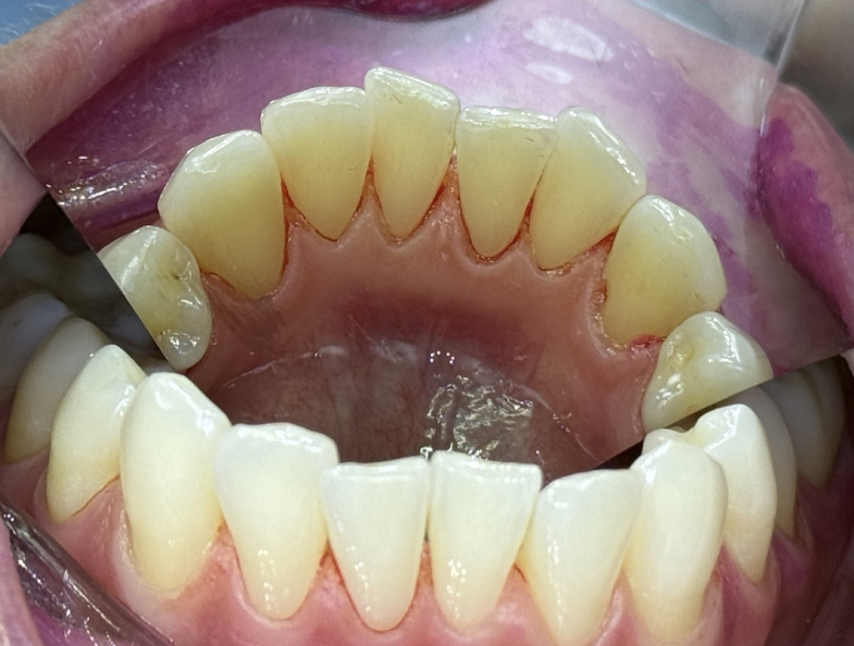
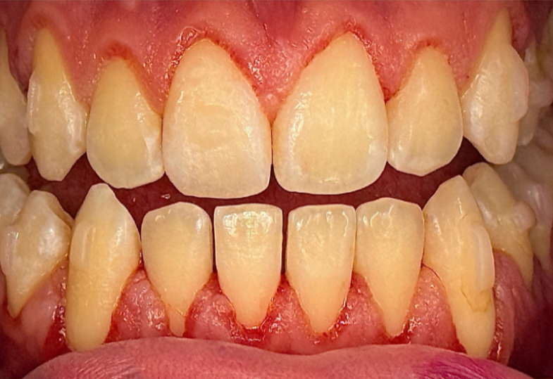
- Nakoniec zuby vyleští špeciálnymi pastami poprípade vykoná čistenie pieskovaním prístrojom airflow a tým ich pripraví na aplikáciu fluoridových prípravkov, ktoré posilňujú zubnú sklovinu
Pacient po ošetrení dentálnou hygieničkou prechádza do štádia sanácie, teda ošetrenia chrupu k zubnému lekárovi. Celá procedúra dentálnej hygieny trvá približne hodinu a odporúča sa opakovať ju v pravidelných intervaloch.
Prístroje, ktoré dentálna hygienička používa:
- Ultrazvuk – prístroj, ktorým sa odstraňujú nánosy zubného kameňa
- Kyrety – ručné inštrumenty na mechanické odstránenie zubného kameňa na ťažko prístupných
- Airflow – prístroj, ktorý prúdom špeciálneho prášku pod tlakom odstraňuje nánosy plaku a pigmentov z povrchu zuba a tým ich čistí a leští


















